Skip to main content
White Smiles Dentistry
Menu
Home
About Us
About Us Overview
Meet The Doctors
Dr. Dustin White
Dr. Abbie Askegaard
Dr. August Askegaard
Dr. Madison Mueller
Dr. Teara Wuollet
Dr. Chad Loween
Our Locations
Albertville, MN
Apple Valley, MN
Spring Lake Park, MN
Services
General & Preventative Dentistry
General & Preventative Dentistry Overview
Conditions We Treat
Family Dentistry
Dental Cleanings
Oral Exams
Emergency Dentistry
Restorative Dentistry
Restorative Dentistry Overview
Dental Implant Surgery
Full Mouth Dental Implants
Implant Supported Dentures
Zirconia Fixed Bridges
Dental Crowns
Dental Bridges
Full & Partial Dentures
Cosmetic Dentistry
Cosmetic Dentistry Overview
Porcelain Veneers & Lumineers
®
Invisalign
®
Teeth Whitening
Smile Makeover
BOTOX
®
Advanced Dentistry
Advanced Dentistry Overview
Root Canals
Gum Disease Treatment
Oral Surgery
Sedation Dentistry
Sleep Apnea
Conditions
Patient Resources
Patient Resources Overview
Reviews
Insurance and Financing
Dental Savings Plan
Specials
Blog
Video Library
Giving Back
Gallery
Contact
Email Us
Request an Appointment
Map & Directions
Albertville
6563 Laketowne Pl
Albertville, MN 55301
Apple Valley
8977 Hunters Way
Apple Valley, MN 55124
Spring Lake Park
1611 County Hwy 10
Spring Lake Park, MN 55432
Locations Dropdown
Albertville
6563 Laketowne Pl
Albertville, MN 55301
Apple Valley
8977 Hunters Way
Apple Valley, MN 55124
Spring Lake Park
1611 County Hwy 10
Spring Lake Park, MN 55432
Close
Locations Dropdown
Albertville
Albertville Location
(763) 515-3615
Apple Valley
Apple Valley Location
(952) 891-8484
Spring Lake Park
Spring Lake Park Location
(763) 717-3989
Close
Smile Gallery
Home
/
Gallery
Viewing: All Patients
Categories
Dental Implants
Full Mouth Dental Implants
Porcelain Veneers
Teeth Whitening
Dental Implants
Patient 1
View Case Details
Patient 2
View Case Details
Patient 3
View Case Details
Full Mouth Dental Implants
Patient 1
View Case Details
Patient 2
View Case Details
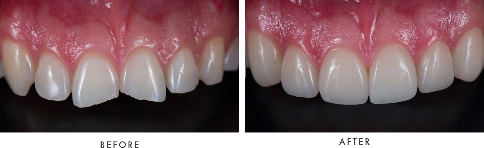
Porcelain Veneers
Patient 1
View Case Details
Patient 2
View Case Details
Teeth Whitening
Patient 1
View Case Details